大小鼠哮喘模型
日期:2025-08-14
来源:华腾生物

哮喘是一种复杂的气道慢性炎症性疾病,其特征是气道对各种刺激的过度反应,导致气道痉挛、气道炎症和气道重塑。哮喘的发病机制涉及多种免疫细胞、炎症介质和神经内分泌因子,这使得哮喘的治疗和管理极具挑战性。为了深入研究哮喘的发病机制,探索新的治疗方法,评价药物疗效,建立哮喘动物模型尤为重要。

其中过敏性哮喘模型最常见的哮喘模型类型,通常由反复给药动物过敏原(如卵清蛋白、尘螨等)和佐剂(如氢氧化铝)诱导。这类模型可以很好地模拟人类过敏性哮 喘的炎症反应和气道高反应性,是研究哮喘发病机制和治疗药物的重要工具。

小鼠OVA造模方法:

1. 致敏阶段:小鼠经适应性饲养后,于造模第0、7、14天给予含200μg卵蛋白及4mg 氢氧化铝的0.5 ml 盐水溶液腹腔注射。

2. 激发阶段:于第21至28天给予含1.5% OVA溶液超声雾化吸入20min,连续7d,直至出现哮喘相关症状。

动物超声雾化吸入

模型评价:

0 1
哮喘发作时一般行为学观察:

过敏性哮喘大鼠模型哮喘发作期的典型症状表现为造模期间频繁并持续的出现呼吸加快并伴有喘息、口唇黏膜发绀、腹肌痉挛、毛色暗淡并伴有竖起、抓耳挠腮等,并随着激发次数的增多,症状会加重且出现的频率逐渐增加。

 

0 2
气道阻力测定:

麻醉动物后,仰卧固定,正中剪开颈部皮肤,暴露气管,行气管插管。将大鼠密封放在体积描记器内5分钟后开始记录基线阻力值,随后通过内嵌式雾化给药系统依次雾化吸入生理盐水与浓度为0.32mg/ml、0.64mg/ml、1.28mg/ml、2.56mg/ml 盐酸组胺后20秒,分别记录气道阻力值(阻力 值回到基线后再行下一梯度浓度的刺激)。系统通过传感器采集数据,经过系统处理,可直接记录气道阻力值。

 

0 3
 ELISA:

测定血清及BALF液中IgE、IL-4、IL-5、IL-9、IL-13、黏蛋白MUC5AC水平。

 

0 4
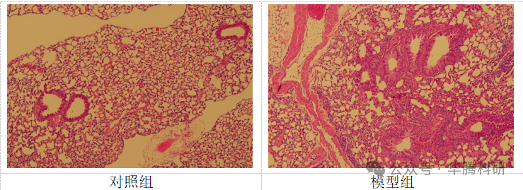
 肺组织病理学检查:

取肺组织用4%多聚甲醛固定、脱水、石蜡包埋,切片,HE染色。

肺组织病理切片HE染色可见肺泡间隔增厚,嗜酸性粒细胞、淋巴细胞浸润。

 

关于华腾生物

 

在线留言
选择服务
动物模型库
药物临床前CRO服务
医疗器械临床前评价
科研服务
第三方检测服务
实验室平台
您的姓名 *
您的电话 *
您的公司 *
您的邮箱
您的职位
贵司产品
需求描述 *
请输入验证码
captcha