单侧输尿管梗阻(UUO)模型
日期:2025-08-14
来源:华腾生物

慢性肾脏病(CKD)是非传染性疾病发病和死亡的主要原因,涉及进行性、不可逆的肾功能丧失,引起并发症,损害器官功能,并可能导致过早死亡。肾纤维化是 CKD 的常见病理改变,其特点是破坏正常肾脏结构、成纤维细胞增生、细胞外基质过度沉积。单侧输尿管梗阻(UUO)作为肾脏纤维化模型,其特征是肾间质炎症、细胞外基质过量产生、肾小管上皮细胞萎缩、小管上皮 - 间质转化。

 

0 1
造模方法

小鼠吸入麻醉完成后进行备皮、消毒,在左侧背部上切开创口(位置如图1所示),暴露出左侧肾脏及输尿管,游离、结扎并剪断左侧输尿管,逐层缝合,术毕。

0 2
造模结果
01
各组小鼠SCR、BUN水平测定比较

02
组织病理学

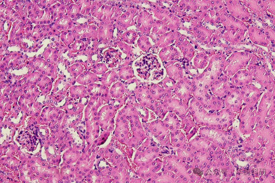
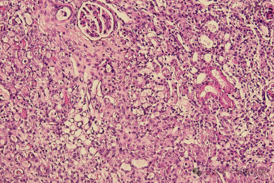
HE染色结果显示,假手术组小鼠肾小球结构清 晰、肾小管紧密排列,未见明显炎性细胞浸润。模 型组小鼠肾脏组织出现损伤,肾小球形态结构异 常,肾小管刷状缘缺失及小管扩张,临近小管细胞 与上皮细胞边界不明显,间质出现炎症浸润。

假手术组,40x

模型组40x

 

在线留言
选择服务
动物模型库
药物临床前CRO服务
医疗器械临床前评价
科研服务
第三方检测服务
实验室平台
您的姓名 *
您的电话 *
您的公司 *
您的邮箱
您的职位
贵司产品
需求描述 *
请输入验证码
captcha