关于广州华腾生物白化病小型猪模型
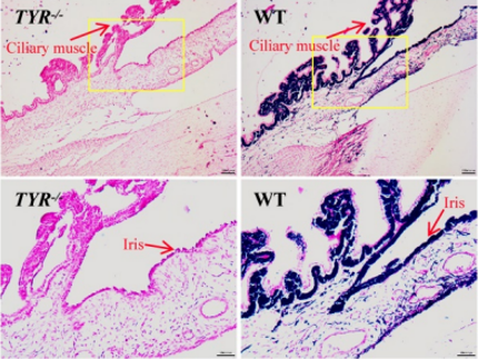
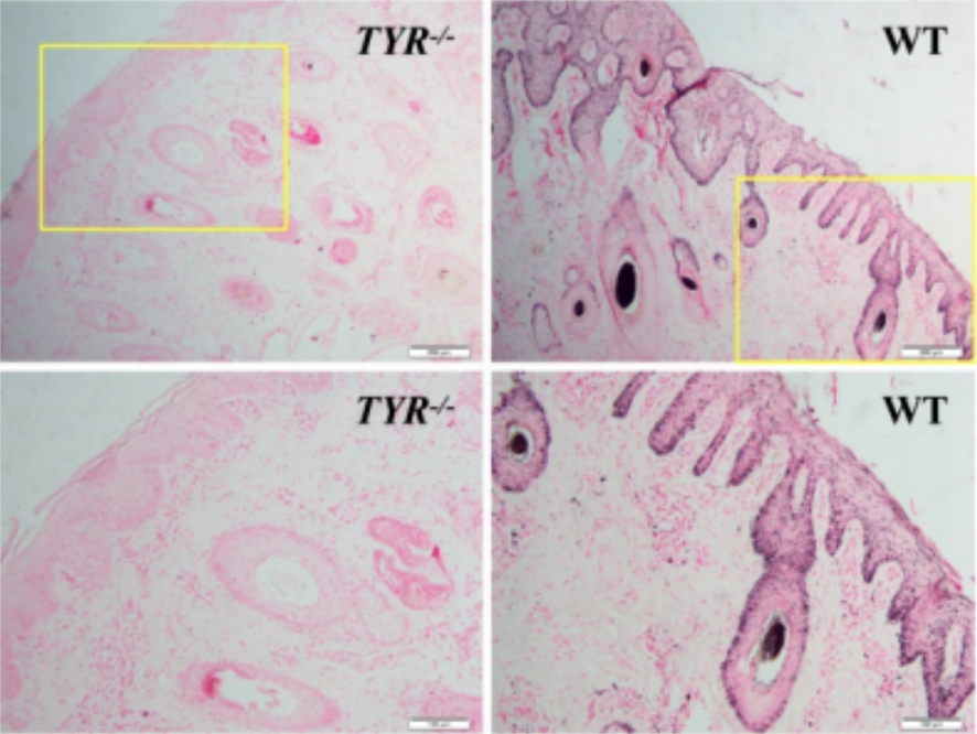
黑色素的生物合成是由酪氨酸酶(Tyrosinase, TYR)催化体内酪氨酸羟化而启动一系列生物反应过程。TYR基因是黑色素合成的关键基因,TYR突变导致酪氨酸酶的活性缺失,可直接引起动物的白化。
西藏小型猪由于其体型大小,皮肤的解剖生理特性与人极为相似,其独特的生物学特性使其成为了一个优良的实验用小型猪品种。敲除西藏小型猪的TYR基因,将其毛发和皮肤培育成白色的小型猪实验动物化,为皮肤的临床前研究提供一个良好的实验动物平台。
白化病小型猪模型构建
通过显微注射将猪的TYR基因的sgRNA与Cas9 mRNAs注射进入受精卵后移植进入假孕母猪体内。
模型主要检测指标
皮肤和毛色的变化
A
B

C
D
华腾生物支持
01
西藏小型猪、巴马小型猪出售
02
委托药效学评价
03
委托药理学评价
04
其他小型猪疾病模型个性化定制