先兆子痫(PE)
先兆子痫( pre-eclampsia,PE) 是一种累及多器官的妊娠相关疾病,其发病机制是不同程度的胎盘灌注不良引起可溶性因子释放,导致母体血管内皮损伤,从而致使高血压和多器官功能障碍。
化学诱导法是建立PE动物模型的常用方法,LPS和R848均能成功诱导PE模型,使孕鼠出现高血压、胎儿生长受限、内皮功能障碍等PE症状。
01
CD-1孕鼠,腹腔注射 R848 造模或尾静脉注射LPS。
02
01
孕鼠尾动脉收缩压
02
孕鼠尿蛋白/尿肌酐
03
孕鼠胎鼠情况

04
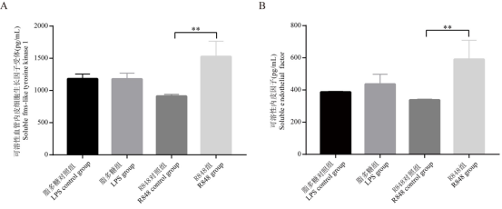
孕鼠血清中sFlt-1和sEng的表达量
05
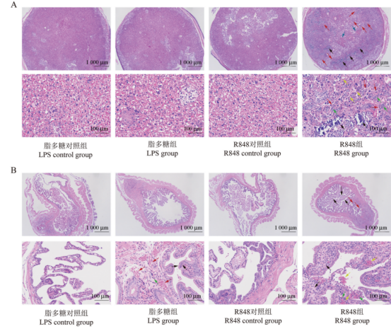
组织病理学分析
注:A:胎盘;黑色箭头:蓝紫色钙盐;红色箭头:合胞体滋养层增生;黄色箭头:红细胞;蓝色箭头:胞核;绿色箭头:细胞钙化;B:子宫;
黑色箭头:上皮层结缔组织;红色箭头:血管扩张;黄色箭头:红细胞;绿色箭头:炎性细胞浸润。