造模方法
雄性 Wistar 大鼠。DSS 溶液新鲜配制,每天更换。急性结肠炎的诱导方法是 A 对照组大鼠只饮用普通饮用水。B 组药物对照组,C 组模型(DSS)组在饮用水中加入 5% 的 DSS,持续 5 天。
检测指标
1.观察结肠炎:
对 DSS 诱导的急性结肠炎的一般观察

注:A:大体外观;B:结肠相对重量/长度比;C:CRP 水平;D:MPO 水平。a:DSS 与对照组相比,"∗"表示差异有统计学意义(P < 0.05),"ns "表示差 异无学意义。
2. 血液分析
与对照组相比,观察到 DSS 治疗组急性和慢性结肠炎患者的血清标记酶(AST、ALT、ALP、LDH 和 γ-GT)水平较高。(表 1)
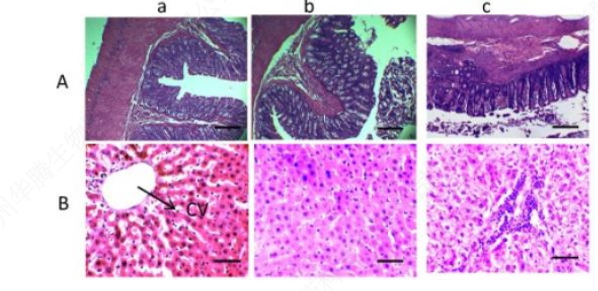
3. 对照组和实验组动物结肠和肝组织的组织学评估
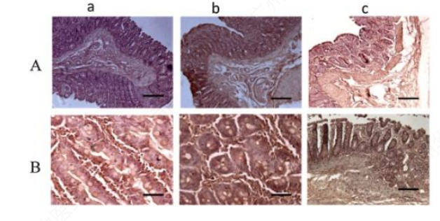
4. DSS 诱导的急性炎症中 NF-κB 和 TNF-α 表达
图 4 显示了结肠组织中 NF-κB (图 4A)和 TNF-α (图 4B) 的免疫组化染色。结果显示,在 DSS 诱导的大鼠中,促炎介质 NF- κB 和 TNF-α 的表达增加。